仅供临床科研使用
Xelis Dental 了解更多
销售价格: N/A
商品编号: AS-278-2147
软件语言: 英文
器械分类: II
生产厂家: INFINITT North America Inc.
公司网址: https://www.infinittna.com/
认证信息: FDA
系统要求: Windows
交付方式: 下载安装
  • 软件概览
  • 推荐配置
  • 典型病例
  • 软件教程
  • 临床文献
  • 用户评价
  • 产品彩页

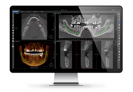
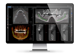
软件概览

Xelis Denta

Xelis Dental is an advanced 3D reconstruction software that can be usedindependently or with INFlNITT Dental PACS, offering precise measurements andanatomical information on oral and maxillofacial structures.


推荐配置


典型病例


软件教程


临床文献


用户评价


产品彩页


请完善个人信息

非常抱歉,您只有购买软件后才能查看完整软件教程!

看了此商品的会员还在看
测试版
版本号 软件大小 下载地址
01 1m 下载
正式版
版本号 软件大小 下载地址
01 1m 下载