DWI and DTI** features fast processing of various diffusion maps, supporting various manufacturer-dependent DTI encoding schemes and unlimitted number of diffusion encoding directions. Features include:
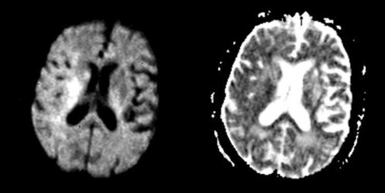
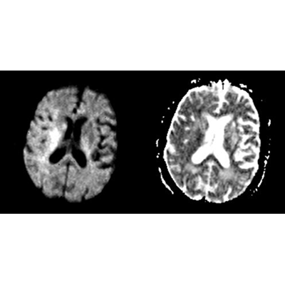
Apparent diffusion coefficient (ADC)**
Isotropic DWI (DWIiso)**
Exponential ADC (eADC)**
ADC tensor eigen values**
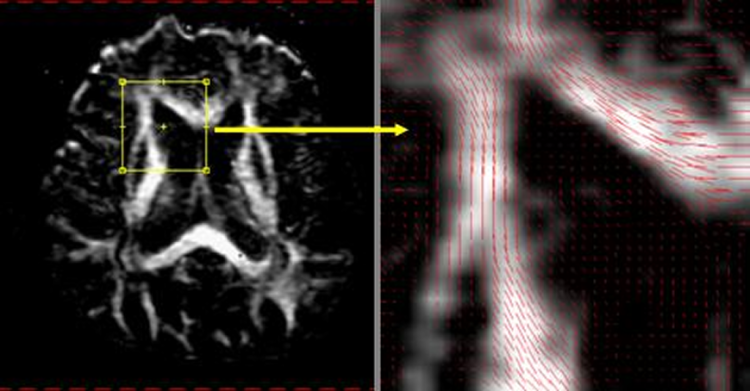
ADC tensor eigen vector plot**
Fractional anisotropy (FA)**
Relative anisotropy (RA)**
Volume anisotropy (VA)**
Surface anisotropy (SA)**
Directionally-encoded color (DEC) anisotropy**
DTI fiber tractography**


Maps of DWIiso, ADC, FA and ADC tensor eigen vector plot.


DEC anisotropy maps and fiber tractography.
** These functions have not been cleared by the FDA, and are for research uses only.

非常抱歉,您只有购买软件后才能查看完整软件教程!