
Head and Neck Analysis for CBCT data
The Head and Neck Analysis (HNA) app is available as an add-on for Analyze. HNA is a research application for the analysis of craniofacial anomalies. It offers an easy-to-use, guided, sequential analysis of Cone Beam CT (CBCT) volumetric datasets of the head and neck, providing tools for making accurate, cephalometric-based measurements and creating compelling, informative visualizations from pre- and post-intervention scans of a subject.
The HNA app allows for the analysis of a single scan or both pre- and post-intervention scans at the same time. The steps involved in the analytical task flow include Align, Register, Visualization, Airway, Measure, Segment and Segmentation Comparison, each of which are explained below. The results from each step can be saved to a pdf document. The HNA User’s Guide can be accessed below.
Head and N
eck Analysis Workflow
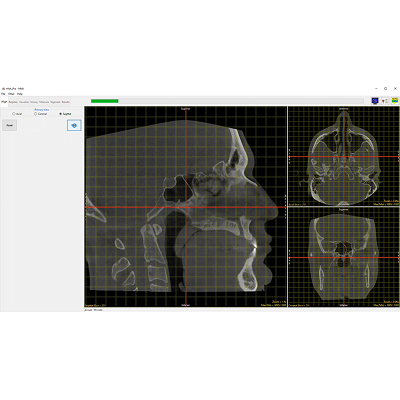
Align
The HNA app opens to the first function tab, which is the Align tab. This provides a way to realign the volume if it wasn’t lined up precisely as desired during the scan procedure.

Register
If analyzing a Pre and Post intervention scan simultaneously, the next step is Register, which co-registers the Post volume to the Pre volume, so that meaningful comparisons can be made between the two scans before and after an intervention.

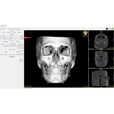
Visualize
The Visualize tab in the HNA module is designed to provide an assessment of the previous alignment step and to explore and record various visualizations or views of the subject.

Airway
The Airway tab in the HNA app is designed to provide an internal rendering or endoscopic view of the airway.

Measure
The Measure tab in the HNA app is designed to perform quantitative analysis of the head and neck, using standard Cephalometric landmarks, which are placed as points on the image.

Segment
The Segment tab in the HNA app is used to efficiently define the three most important regions of interest in head and neck analysis scans: soft tissue, bone, and airway. Once defined, the segmented objects are used to generate various renderings from a single scan or from pre and post interventions scans which can be combined to show changes that have taken place over time.

Segmentation Comparison
Selecting the Segmentation Comparison action button will display a selection of renderings generated from the two object maps that have been defined for the Pre and Post volumes. The Renderings section provides checkboxes to choose which comparison renderings to display.

Results
The Results tab in the HNA app provides documentation of the results from each of the previous tabs in the form of images, measurements and notes.


非常抱歉,您只有购买软件后才能查看完整软件教程!