DynaCAD 前列腺
用于前列腺 MRI 分析的先进后处理成像系统

提供一套全面的工具,用于多参数、多供应商 (3) MRI 研究的实时分析、审查和报告。通过将图像直接从 MRI 传输到 DynaCAD 并利用其强大的自动后处理工具,并以定制的悬挂协议显示结果以进行分析和报告,从而提高生产率。
特征
丰富的多参数考试审查
凭借功能强大、易于导航的多供应商 MR 图像分析系统,DynaCAD 可以快速处理和管理大量数据。您可以以即读的自定义悬挂协议打开箱子,所有图像都同步,以便轻松进行多参数审查。

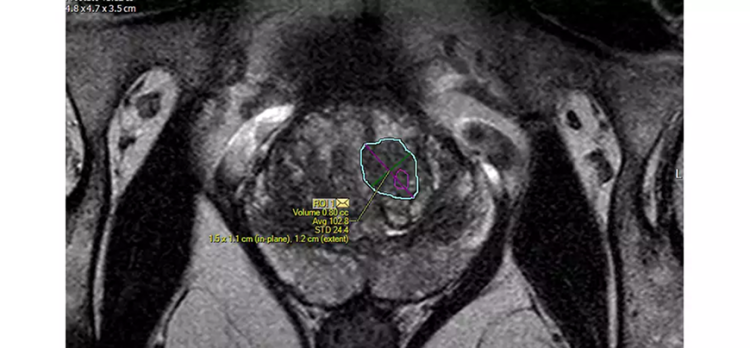
可调节的 3D 分割,用于最佳引导的活检
您可以减少前列腺的手动轮廓:DynaCAD Prostate 基于模型的腺体分割会自动执行腺体的 3D 分割。您可以更改或调整所有三个平面中的分割结果。由此产生的分割报告了总体腺体体积,并为 UroNav MR/US 引导的融合活检程序奠定了基础。

增强投资回报率目标
用户生成的 ROI 可以显示在前列腺的 3D 模型以及研究中的多个图像序列上。


非常抱歉,您只有购买软件后才能查看完整软件教程!