vFFR
The novel angio-based functional lesion assessment: wire and adenosine free
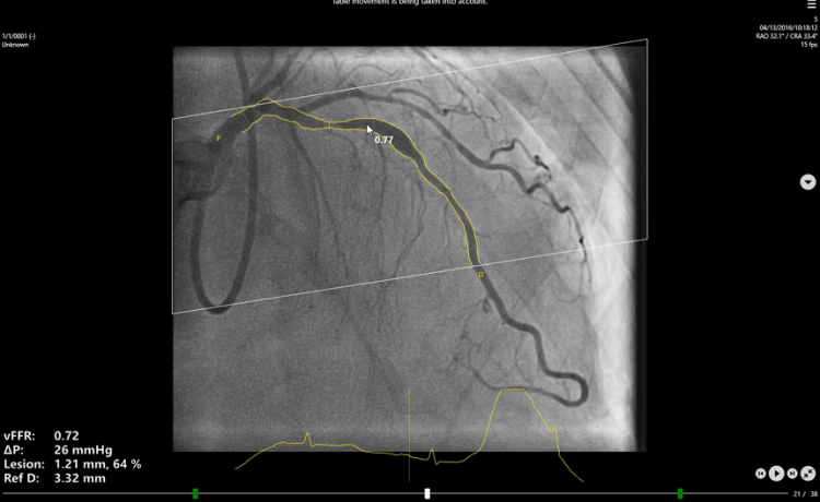
The vFFR workflow builds a 3D reconstruction of coronary artery and assesses pressuredrop, resulting in a vFFR value. Furthermore, with the 3D reconstruction anatomicalesion information is provided, like the percentage stenosis.
Functional lesion information
Pressure drops in coronary artery
vFFR value
Anatomical lesion information
Lesion diameter
Percentage stenosis
Reference diameter
Obstruction lenath


*The residual vFFR functionality does not have FDA clearance and can therefore NOT be used in the USA

Clinical Evidence
vFFR is subject of two multi-center randomized clinical trials investigating the effectiveness of vFFR guided revascularization vs FFR guided revascularization in over 4000 patients:The FASTIII trial is led by Dr. Joost Daemen (Erasmus Medical Center, Rotterdam, The Netherlands) , investigator initiated and sponsored by the European Cardiovascular Research Institute (ECRI). All study details can be found here: https://www.ecri-trials.com/studies/fast-iii/
The LIPSIA STRATEGY trial is led by Prof. Holger Thiele (Herzzentrum Leipzig) and investigator initiated. More information can be found here: https://www.clinicaltrials.gov/ct2/show/NCT03497637
vFFR is and has been subject to multiple single and multi-center trials investigating diagnostic accuracy to predict FFR ≤ 0.8, accuracy in post-PCI setting and accuracy related to IVUS, OCT, NHPR. A full overview can be found here.
key publications
Masdjedi K, Van Zandvoort L, Balbi M, Gijsen F, Ligthart J, Rutten M, Lemmert M, Wildschut J, Diletti R, Zijlstra F, Van Mieghem N, Daemen J. Validation of 3-Dimensional Quantitative Coronary Angiography based software to calculate Fractional Flow Reserve: Fast Assessment of STenosis severity (FAST)-study. EuroIntervention 2019; Jaa-580 2019, doi: 10.4244/EIJ-D-19-00466
Masdjedi K, Tanaka N, Van Belle E, Porouchani S, Linke A, Woitek F, Bartorelli A, Ali Z, den Dekker W, Wilschut J, Diletti R, Zijlstra F, Boersma E, Van Mieghem M, Spitzer E, Daemen J. Vessel Fractional Flow Reserve (vFFR) for the assessment of stenosis severity: the FAST II study. EuroIntervention 2021; 17, doi: 10.4244/EIJ-D-21-00471 .
Neleman T, Masdjedi K, Van Zandvoort LJC, Tomaniak M, Ligthart JMR, Witberg KT, Vermaire AA, Boersma E, Van Mieghem NM, Daemen J. Extended Validation of Novel 3D Quantitative Coronary Angiography-Based Software to Calculate vFFR: The FAST EXTEND Study. JACC Cardiovasc Imaging. 2021 Feb;14(2):504-506. doi: 10.1016/j.jcmg.2020.08.006. Epub 2020 Sep 30. PMID: 33011122.
Masdjedi, K, van Zandvoort, LJ, Balbi, MM, et al. Validation of novel 3‐dimensional quantitative coronary angiography based software to calculate fractional flow reserve post stenting. Catheter Cardiovasc Interv. 2020; 1– 7. https://doi.org/10.1002/ccd.29311
Tomaniak, M, Masdjedi, K, van Zandvoort, LJ, et al. Correlation between 3D‐QCA based FFR and quantitative lumen assessment by IVUS for left main coronary artery stenoses. Catheter Cardiovasc Interv. 2020; 1– 7. https://doi.org/10.1002/ccd.29151

非常抱歉,您只有购买软件后才能查看完整软件教程!