Remove Uncertainties in Prostate Ablation
Complete every procedure with confidence. Simulate your MR-targeted ablation with MIM Symphony Urology Ablation planning software.
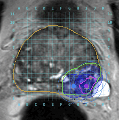
Plan Before Your Treat
Before the procedure: Identify challenges and choose the optimal treatment modality using MR, PSMA PET Imaging, and 3D ablation energy
models.
In the operating room: Focus on executing the pre-plan.
Complete every procedure with confidence that you delivered the best possible therapy.
MIM® Urology Concierge Service
Need help with ablation planning? Want standby fusion support?
We know you’re busy in the clinic, so we’ve given you direct access to schedule with a MIM Urology specialist. Pick a time that works for you,
and we’ll be there to help.

非常抱歉,您只有购买软件后才能查看完整软件教程!