ADSTRA Imaging™
The All-In-One Dental Imaging Software
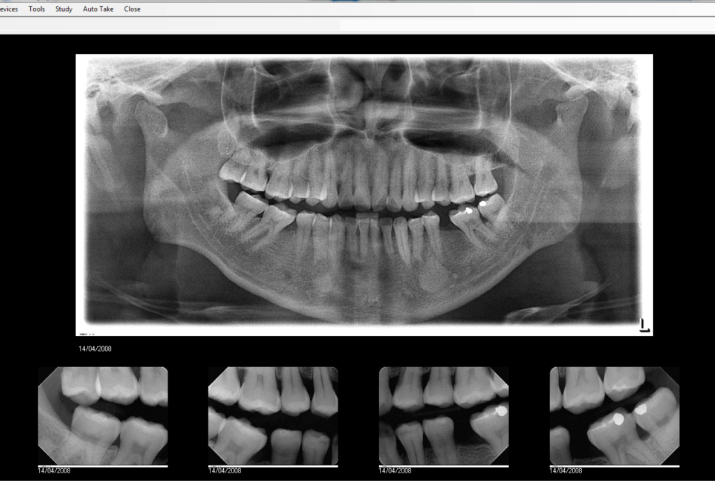
Comprehensive Dental Image Management
ADSTRA Imaging integrates ALL your digital imaging devices: intraoral cameras, digital cameras, video microscopes, flatbed scanners,
phosphor-plate scanners, intraoral digital x-ray sensors, panoramic and cephalometric devices.
ADSTRA Imaging has advanced security features, high performance SQL database, an easy to use intuitive interface, and features visibile on demand as needed.

Fast and Effective Patient Communication
Effectively educate your patients and increase treatment acceptance rates with numerous predefined case studies and infographics.
Present visual information, as well as “before”and “after” conditions
to help your patients better understand treatments.

Advanced Dental Image Management
Enhance and optimize your images using several tools, create a portfolio of effective presentations for patient education so that you can improve patient knowledge of treatments and increase treatment acceptance.
Create professional reports for specialists and/or referring doctors using one of the many Microsoft Word templates included, automatically create and track emails sent, and quickly retrieve images using one of the quick access buttons.

Proven Solution
EASY TO LEARN & USE
Attractive and intuitive graphical user interface with built-in help, PDF guides, and video tutorials
Multi-level Security
Role-based, password protected access to features and comprehensive audit logs
Multi-lingual Interface
Available in English, French, and Spanish
FLEXIBLE & SCALABLE
For large dental clinics with multiple locations, as well as individual dental offices
INTEGRATED HELP FILE
Context sensitive, on-demand available documentation
Digital Imaging
Capture, organize and enhance images from digital cameras, video camera and radiographic digital devices
Referral Reports
Use templates to include both pictures and text to increase efficiency in creating referral reports
Patient Education
Show pre-defined case studies, infographics, or your own portfolio of before and after images of performed treatments
Integrated Devices
Intraoral cameras, phosphor plates scanners, intraoral digital x-ray sensors, panoramic and cephalometric digital x-ray systems
Storing Images
Automatic saving of captured images, one-button retrieval of original images, archive and restore by time frame
Image Annotation Tools
Line, rectangle, allipse, polygonal line, pointer, free-hand shape, text, and notes
IMAGE ENHANCEMENT AND X-RAY TOOLS
Gamma correction, grayscale, histo-equalize, extra-sharp, emboss, brightness and contrast on mouse move, area optimizer and histogram viewer, as well as user-definable filters

非常抱歉,您只有购买软件后才能查看完整软件教程!