发现试用选择
产品名称
产品名称
公司名称
首页
行业资讯
最新新闻
高端访谈
学术活动
精英团队
国际前沿
精品文章
分析软件
计划软件
人工智能
增值服务
know-how
测试版
人工智能
>
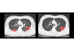
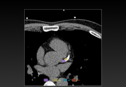
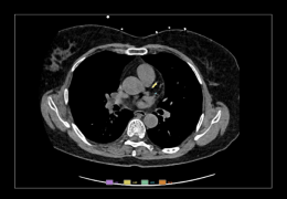
放疗计划
ProBeam 系统治疗计划
了解更多
销售价格:
¥
N/A
商品编号:
AI-TPS-098-0286
软件语言:
中文/英文
器械分类:
II
生产厂家:
瓦里安医疗系统公司
公司网址:
https://www.varian.com/zh-hans
认证信息:
FDA
系统要求:
Windows
交付方式:
下载安装
*
姓名:
*
所在地:
*
医院名称:
*
科室:
详细地址:
*
电话:
*
邮箱:
*
感兴趣的功能:
最大输入200字
*
姓名:
*
电话:
*
课题名称:
*
研究方向:
*
详细说明:
*
成果说明:
*
需要资源:
*
经费情况:
软件概览
推荐配置
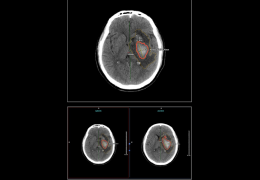
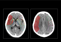
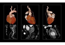
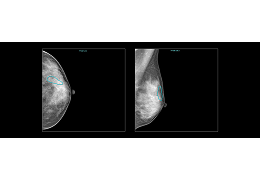
典型病例
软件教程
临床文献
用户评价
产品彩页
软件概览
推荐配置
典型病例
软件教程
临床文献
用户评价
产品彩页
请完善个人信息
非常抱歉,您只有购买软件后才能查看完整软件教程!
我要咨询
还剩余
200
字
咨询
我们将通过邮件的形式回复您,请完善邮件信息!
*
邮箱:
咨询
提交成功
我们会尽快答复,请您注意查收邮件!
看了此商品的会员还在看
肺结节智能检测系统
AI+Cloud+3D+ 肝胆系统三维可视化服务
胸肺系统三维可视化服务
AccuFFR®ct-基于冠脉CTA的无创FFR分析系统
Al - assisted Diagnosis
肺癌云网智能筛查平台
眼底病云网智能筛查平台
智能眼科影像管理平台
PV‐iRT 智能放疗辅助系统
PV-iCS医学影像智能处理系统
PV-iSA智能手术辅助系统
MIAS
睿影AI医学辅助诊断/评估系统
治疗计划系统RapidPlan
mdaccAutoPlan®
影诺智能标注平台
CINA-ICH
CINA-LVO
CINA-ASPECTS
CINA-PE
ClearRead-Ct
ClearRead Xray
cmAssist
cmAngio
cmDensity
cNeuro® cMRI
cNeuro® cDSI
icobrain ms
icobrain dm
icobrain tbi
icobrain ep
Lung Density Analysis™ - Inspiration
Lung Density Analysis™- Functional
Lung Texture Analysis™
PANDA
KOALA™
HIPPO
LAMA
MammoScreen ®
NeuroQuant
DeepHealth Prostate
DeepHealth Brain
red dot ® Lung Cancer Detection Platform
SubtlePET
SubtleMR
MODUS PLAN™
Celsus. Mammography
脉影 CAscope®
颅影 ICAscope®
心影 HCscope®
体素睛采
体素冠影
体素肤知汇
PROSTATID™
EUREKA
TR Neuro
QP-Brain®
QP-Liver®
QP-Breast®
QP-Lung®
QP-Insights®
QP-Prostate®
e-CTA
多参数肝脏健康精准评估
肝硬化无创评估
肝肿瘤辅助诊断
数字医生
脑卒中患者出血预测
脑卒中患者症状智能预测
帕金森患者自动化分析
CT骨转移智能分析系统
MR脑转移瘤智能分析系统
PET/CT智能分析系统
MR脑结构智能分析系统
MR脑小血管病智能分析系统
CT卒中智能分诊系统
CT颅内出血智能分析与随访系统
CT脑缺血智能分析系统
CTA头颈血管智能分析系统
CTP脑灌注智能分析系统
CTA冠脉智能分析系统
CT 非门控钙化积分智能分析系统
CT门控钙化积分智能分析系统
MR心脏智能分析系统
CTP心肌灌注智能分析系统
CT肺栓塞智能分析系统
CTA主动脉智能分析系统
CT骨折智能分析系统
CT骨转移智能分析系统
DR下肢力线智能分析系统
肝胆手术智能规划系统
泌尿手术智能规划系统
CTA下肢血管智能评估系统
FFDM乳腺智能分析系统
DBT乳腺智能分析系统
DR儿童生长发育智能分析系统
Cancer
e-ASPECTS
CT肺炎智能分析系统
影像检查智能质控系统
AccuFFRct-基于CTA的无创FFR技术
AccuFFRangio-基于冠脉造影的FFR技术
AneuAccuFFRivus-基于IVUS的FFR技术
AccuFFRoct-基于OCT的FFR技术
ProSoma
ProSoma Core
AccuLV-心脏无创功能学评估产品
AcculMR-微循环阻力评估系统
ARPlanner®
mdaccAutoPlan®
Cleo Breast
cleoskin
RADIOLens
Spindle
SpindleX
Teleradiology
GleamerBoneView
BoneViewBoneMetrics
BoneViewBoneAge
GleamerChestView
GleamerBreastView
GleamerLumbarMR
Pixyl.Neuro
GleamerBoneCT
GleamerLungCT
DeepDx® Prostate – CNB
DeepDx® Prostate – RP
DeepDx® Prostate – TURP
DeepDx® Breast – Resection
DeepDx® Breast – SLNB
Lunit INSIGHT CXR
Lunit INSIGHT MMG
Lunit INSIGHT DBT
Lunit SCOPE IO
Lunit SCOPE PD-L1
LunIt SCOPE HER2
Lunit iNSICHT CXRTriage
Lunit SCOPE GP
HTG
VOXEL-MAN Sonography
DentaliQ caries
OptaliQ glauco
爱昔瞳TM视网膜人工智能筛查
PRODUCT SERVICES
CellPlatform 数智病理AI辅助诊断系统
iRay DR
CT智能辅助诊断系统
DR常见病智能筛查系统
VistaSoft 2D Xray
VistaSoft 3D Xray
VistaSoft Trace
VistaSoft AID
PaxeraUltimaAi
Liflow
Logicon Caries Detector Software Version 5.2
Advantis Prostate
Second Opinion® AI
CHIMAERA AI-B2
AI – WELL PREPARED
AIMEE
Moleanalyzer pro
handyscope pro App
CBCTSegmentation
Brain computed tomography
Fluorography and chest x-ray
AI
Additional software
red dot® CTH V1
RadOS
NeuroQuant Brain Tumor®
NeuroQuant PET®
OnQ™ Prostate
NeuroQuant MS®
NeuroQuant for ARIA®
NeuroAlign CT
DeepHealth Lung
SmartMammo™
Koios DS™ Breast
Koios DS™ Thyroid
IB Lab SQUIRREL™
IB Lab FLAMINGO
RBfracture™
icobrain aria
icobrain pd
BrainWave
Hepatic VCAR
Liver Suite
OncoQuant
PET VCAR
Viz Aneurysm
Viz CTP
Viz Hemorrhage
Viz ICH+
Viz LVO
Viz Connect®
Viz Aortic
Viz PE
Viz HCM
cNeuro® cPET and cDAT
CINA-iPE
CINA-AD
CINA-CSpine
CINA-VCF
CINA-VCF Quantix
乳腺智能检测云
临床决策支持系统CDSS
Concentrig AP
Concentrig AP-DX
Concentrig LS
Automated QC
Real-World Data
AI Cardiac Solution
AI Bone Solution
AI Liver Solution
Nanox.AI
Full-Field Bone Marrow AspirateTM (FF-BMA) Application
Paige Prostate
Paige GI
Paige PanCancer
肺结核X射线图像辅助评估软件
CBCT Segmentation
Implant Guide Design
体素肤美汇
天眼智能肿瘤靶区勾画系统
天玑智能放疗工作站
康复智能评估系统
影诺鹰眼辅助诊疗系统
胸部CT肺炎智能分析系统
胸部CT骨折智能分析系统
肺部智能手术规划系统
肺部智能穿刺消融规划系统
肺部智能气管镜规划系统
深脉灵析:头颈智能辅助诊断系统
头颈血管智能分析系统
脑出血智能分析系统
脑缺血智能评分系统
脑灌注智能分析系统
肝脏MR智能分析系统
肝脏智能手术规划系统
肝脏智能穿刺消融规划系统
骨龄智能分析系统
消化道病理智能分析系统
宫颈TCT智能分析系统
乳腺免疫组化智能分析系统
艾知星 口腔技能训练及实时评估系统
Genius AI® Detection PRO Assistant
Hologic Genius AI® Detection Solution
肺部健康精准评估报告系统
ZBEdge® Dynamic Intelligence™
Genius™ Cervical AI
Genius™ Digital Diagnostics System
Genius™ Review Station
心电血压数据管理系统
人工智能辅助宫颈癌诊断系统
人工智能辅助胃癌诊断系统
人工智能辅助甲状腺癌诊断系统
KFBIO 远程病理学诊断平台
ProFound Detection V4
ProFound AI® V3
SecondLook®
ProFound AI Risk
NDI Software Packages
测试版
版本号
软件大小
下载地址
正式版
版本号
软件大小
下载地址
关闭
分析软件
计划软件
人工智能
3D打印
导航 / 机器人
Surgi-plan.com Copyright © All Rights Reserved 2006-2023
京ICP备17046258号
关于我们
联系我们
网站声明