
产品简介
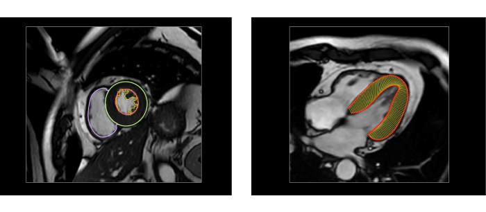
联影智能MR心脏智能分析系统支持心功能、心应变、T1 Mapping、LGE/T2W、灌注等多个序列的一系列量化评估与分析,可一站式覆盖心脏形态、功能结构、组织特征等多维度数据,突破传统工作流中后处理步骤繁琐、入门门槛高等瓶颈问题,助力CMR在临床应用中的普及。





诊疗痛点
心脏磁共振(CMR)是无创评估心脏结构及功能的「金标准」,在心血管疾病诊断中的潜力获广泛认可。但CMR具有多序列、多参数成像等特点,对医生的诊断水平和临床经验有更高要求。而现有的传统工作流复杂,需医生手动操作处理数据,既繁琐又费时,难以满足临床要求。值得一提的是,当前CMR影像分析技术高度依赖于国外,严重限制国内心脏MR技术的普及,是阻碍我国心血管诊疗能力提升的瓶颈所在。
临床价值
联影智能MR心脏智能分析系统可覆盖多序列的心脏磁共振,支持实时编辑心肌追踪。目前,该系统涵盖心功能、心应变、T1 Mapping、LGE/T2W、MR灌注分析等多个序列,可一站式覆盖心脏形态、功能、结构、组织特征等多维度数据,大幅提升临床诊断效率,有望推动我国CMR检查实现更广泛的应用,让更多心脏疾病患者受益。
相关资讯
打破国外垄断,自主研发心脏磁共振一站式AI分析系统
“当前医生解读心脏磁共振检查所使用的专业分析与处理软件,均来自国外,目前我国在这方面缺少自主知识产权的技术和产品。研发具有自主知识产权的‘一站式’影像智能分析软件意义重大。”2023年,联影智能携手北京安贞医院,共同承担了国家重点研发计划项目“基于人工智能的心血管病多模态影像诊断体系研究”。目前已产生一系列技术成果与应用转化。
突破瓶颈,心脏磁共振影像迈向“全AI化”时代
站在医生的角度,联影智能给出的答案是“全自动工作流”。方案内置独家算法,可在数秒内自动对多序列图像(心肌内外膜,水肿、延迟强化区域等)进行自动分割、特征提取、心肌运动追踪。这也意味着,在AI的加持下,医生无需像传统流程一样进行繁复地点击与操作,而是在医生打开软件之后,即可对AI基于影像自动生成的参数及分析结果进行确认或微调。而这是真正可以解放医生精力的事情。

非常抱歉,您只有购买软件后才能查看完整软件教程!