
产品简介
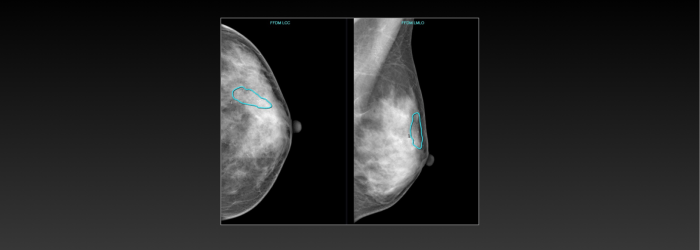
联影智能FFDM乳腺智能分析系统可辅助医生评估乳腺腺体分型及乳房内病灶的检出,包括乳腺常见的四大病灶:肿块、钙化、结构扭曲和不对称;同时系统提供病灶BI-RADS分类、定位等多维分析结果,自动生成图文报告,提升医生的阅片和工作效率,优化乳腺癌诊断流程,关爱女性健康。

诊疗痛点
在中国,乳腺癌已成为女性健康“第一杀手”。临床上,由于中国女性致密型腺体比例高,致密的腺体结构容易掩盖病灶,乳腺X线筛查存在对致密型乳腺病变分辨力差的缺陷,精准诊断难度较大。且伴随乳腺癌筛查需求的急剧增长,医生阅片压力繁重,传统阅片方式面临巨大挑战。
临床价值
基于AI技术,联影智能FFDM乳腺智能分析系统可对乳腺X线图像进行腺体分型、病灶检测及定位、多维分析病灶,避免不同医生阅片的主观差异,实现同质化水平,同时还能减轻医生阅片压力。
权威认证
NMPA医疗AI三类证
2024年,联影智能乳腺X射线图像辅助检测软件,正式获批中国国家药品监督管理局 (NMPA) 三类医疗器械注册证。

非常抱歉,您只有购买软件后才能查看完整软件教程!