
产品简介
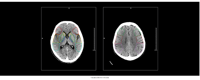
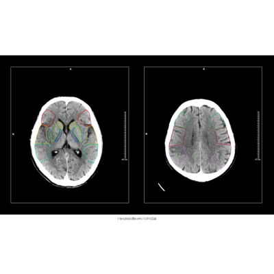
联影智能CT脑缺血智能分析系统可自动检出并精准量化全脑缺血梗塞灶,精确分割ASPECTS评分区域,提供左、右脑ASPECTS评分并标记早期缺血改变区域,辅助医生快速精准评估早期缺血情况,提高阅片准确度和一致性,降低溶栓/取栓医疗风险。




诊疗痛点
缺血性卒中是最常见的脑卒中类型,约占总体脑卒中的70%以上。ASPECTS评分作为评估脑卒中患者脑部影像学表现的一种简单、快速、可靠和系统的定量评价方法,被《急性缺血性卒中血管内治疗中国指南2023》《中国脑卒中防治指导规范(2021年版)》等多份指南推荐。但在实际临床中,由于ASPECTS评分方法复杂又耗时,且存在医生主观判断差异,导致该评分方法实践操作性较差,不利于治疗方案的精准制定与前后随访。
临床价值
联影智能与四川大学华西医院、杭州市第一人民医院合作进行了实现脑缺血患者自动ASPECTS评分的相关研究。结果显示,AI评分具有较高的可靠性,在与训练数据同源的测试集上评分大于6分的敏感性为93.7%,精确性为92.4%;在其他中心的独立测试集上,敏感性和精确性分别为95.5%,91.3%。
搭载该算法的联影智能CT脑缺血智能分析系统可精确分割并定位ASPECTS评分区域,自动提供左、右脑ASPECTS评分并标记早期缺血改变区域,提供ASPECTS评分预后参考指南及随访分析,帮助医生提高阅片准确度和一致性,将评分时间从几分钟缩短至几秒钟,把握治疗黄金时机。
搭载该算法的联影智能CT脑缺血智能分析系统可精确分割并定位ASPECTS评分区域,自动提供左、右脑ASPECTS评分并标记早期缺血改变区域,提供ASPECTS评分预后参考指南及随访分析,帮助医生提高阅片准确度和一致性,将评分时间从几分钟缩短至几秒钟,把握治疗黄金时机。
搭载该算法的联影智能CT脑缺血智能分析系统可精确分割并定位ASPECTS评分区域,自动提供左、右脑ASPECTS评分并标记早期缺血改变区域,提供ASPECTS评分预后参考指南及随访分析,帮助医生提高阅片准确度和一致性,将评分时间从几分钟缩短至几秒钟,把握治疗黄金时机。
病例展示
某三甲医院,一女性患者因突发左侧肢体无力、失语和双眼凝视等症状入院。
医生基于一站式CT扫描结果以及脑缺血AI分析,诊断该患者存在脑缺血情况,右脑ASPECTS评分为6分,有4个受影响区域。值得注意的是,该患者的豆状核和岛叶区域存在缺血问题,但由于早期征象不易识别,医生借助AI辨别发现出这两处区域的缺血情况。
而结合头颅CTP AI结果,可发现该患者右侧大脑半球异常灌注,CTA也清晰显示出患者右颈内动脉及大脑中动脉闭塞。因此,医生决定采取经皮颅内动脉取栓术。
术后第3天,MRI结果与AI评估结果一致。术后第12天,该患者无新发不适,遂顺利出院。科室医生表示:“Al可以准确检测出像素级的异常,并通过智能评分为我们提供治疗的参考意见。”
落地案例
湖北省枝江市基层卫生院直击卒中救治第一现场
在湖北,75%以上的心脑血管疾病死亡病例发生在社区和乡镇,很多患者无法及时得到市区医院的救治。作为湖北“323”脑卒中“百万减残工程”,包含联影智能CT脑缺血智能分析系统在内的全国首个「数智一体化卒中诊疗方案」在湖北省枝江市6个乡镇落地生根,提升了乡镇卫生院的诊断能力,构建起基层卒中防治创新体系。在这套方案实施后的数月内,「枝江模式」便已化解了30个家庭危机,为当地60万人提供幸福保障。
相关资讯
AI临床价值显著
专家评价:“ASPECTS评分目前已经被写进了指南,临床上也有很大参考价值,但是人工进行ASPECTS评分难度很大,且不同专家一致性较低。而联影智能CT脑缺血智能分析系统可以搜索像素级异常、自动快速进行评分且一致性比较高,对于临床有很好的指导作用。”
专家评价:“ASPECTS评分目前已经被写进了指南,临床上也有很大参考价值,但是人工进行ASPECTS评分难度很大,且不同专家一致性较低。而联影智能CT脑缺血智能分析系统可以搜索像素级异常、自动快速进行评分且一致性比较高,对于临床有很好的指导作用。”
科研成果
联影智能与四川大学华西医院、杭州市第一人民医院合作,发表于Human Brain Mapping
文章基于平扫CT设计了一种不对称性网络,实现脑缺血患者的自动ASPECTS评分。文中纳入了1077个患者影像,最终统计表明AI评分具有较高的可靠性。
论文标题:Deep learning derived automated ASPECTS on non-contract CT scans of acuteischemic stroke patients
联影智能与吉林大学中日联谊医院合作,发表于Frontiers in Neuroscience
文章根据NCCT和CTP的成像特征以及脑缺血患者的临床特征制定预后预测列线图,以预测患者的日常生活能力(ADL)和住院时间。文章纳入了476例患者,AI在提高临床效率方面显示出巨大潜力。
论文标题:Nomograms predict prognosis and hospitalization time using NCCT and CTP in patients with ischemic stroke

非常抱歉,您只有购买软件后才能查看完整软件教程!