
产品简介
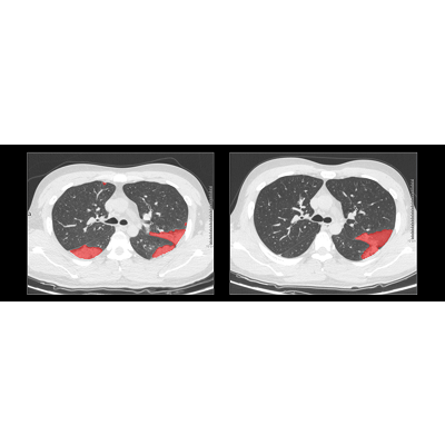
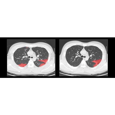
联影智能CT肺炎智能分析系统可自动检出多种肺炎相关征象,高灵敏识别早期微小病变;精准勾画病灶区域,与医生勾画误差<1%;提供预读分诊功能,根据胸部CT特征智能计算,优先筛选出重症患者,实现患者分流。提供病灶的成分分析,对病灶进行多维量化分析。提供智能随访对比,直观比较患者多次CT检查中的病灶变化,助力医生准确衡量患者病情进展。

诊疗痛点
肺部CT结果是检查新型冠状病毒感染的重要诊断标准,但新冠病毒存在病灶不典型、易遗漏等影像学表征,常常会与其他肺炎疾病相混淆。同时,如何量化疾病轻重程度,并实现快速分诊,对于医生而言也存在挑战。
临床价值
联影智能CT肺炎智能分析是业界首款融合肺炎整体与局部影像特征的AI全流程解决方案,基于uAI独创分割引擎,该AI系统对新冠病毒感染病灶勾画重合率接近90%,全肺感染百分比量化误差小于1%,可将5至10分钟的CT阅片缩短至1分钟以内,阅片效率提升近十倍。同时还可有效助力医生甄别疑似病例、合理分流患者。
落地案例
上海市公卫临床中心联影智能CT肺炎智能分析系统助力新冠肺炎分诊难题
联影智能CT肺炎分析系统的引入,为医生提供了高精度诊断支持,自动标记病灶、显示感染范围和病变程度,极大地提升了鉴别分析效率,满足临床精准需求,并在筛查、诊断和预后中发挥关键作用,获医生高度认可。“不仅符合预期,更超出预期!”放射科专家评价说:“uAI可在新型冠状病毒筛查、诊断、预后等各个环节发挥作用,并在磨玻璃病变识辩、分割方面,满足临床对精准的需求。”
探索更多上海公卫中心抗疫最新进展,AI利器直击新冠肺炎分诊难题
权威认证
NMPA医疗AI三类证
2021年,联影智能肺炎 CT 影像辅助分诊与评估软件,正式获批中国国家药品监督管理局 (NMPA) 三类医疗器械注册证。
探索更多AI三类证、发明专利、产品落地全面「引领」,联影智能「成绩单」新鲜出炉!
欧盟CE认证
2020年,联影智能肺炎智能分析应用获国际权威认证机构TÜV南德颁发的MDR CE认证证书。

非常抱歉,您只有购买软件后才能查看完整软件教程!