DynaCAD 泌尿科
融合活检的综合规划

DynaCAD Urology 是一种专门构建的解决方案,它为泌尿科医生提供了一套专用工具,用于在融合活检工作流程中利用多参数 MR 数据。它还为管理泌尿外科患者活检数据提供了解决方案。
特征
使用专为泌尿外科设计的工具
DynaCAD 泌尿外科与放射学中使用的 DynaCAD Prostate 配合使用,为泌尿科医生提供一种存储、审查和管理综合诊断和治疗数据的简单方法。它提供了专门用于泌尿科检查的查看布局和工具。

增强活检信心
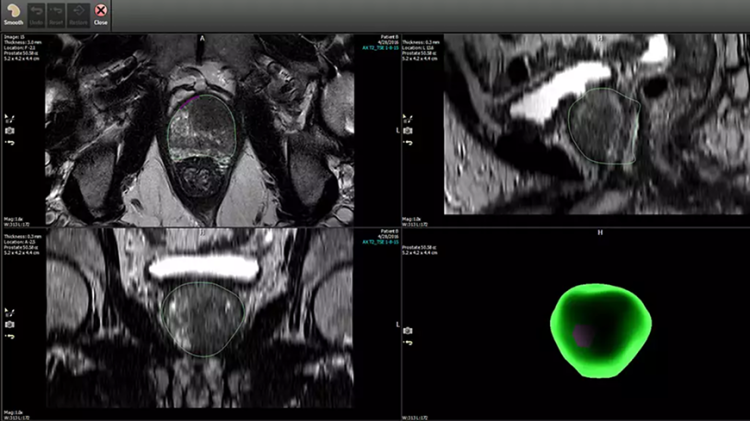
放射科使用 DynaCAD Prostate 定义前列腺边界和目标后,DynaCAD 泌尿科会显示结果信息以供泌尿科检查。专用工具允许您根据需要编辑前列腺分割,并根据先前的活检程序核心位置添加目标。这为使用飞利浦 UroNav 的融合引导活检创建了一个即用型计划。

无缝数据导出到外部系统
DynaCAD Urology 允许用户导出未加密的 T2 MR 图像、腺体和目标分割以及活检核心位置,以用于外部治疗计划和治疗系统。从 DynaCAD Urology 导出这些数据,无需放射科医生为活检和治疗目的分别分割腺体和靶标,从而简化了整个工作流程。


非常抱歉,您只有购买软件后才能查看完整软件教程!