Join the future of dentistry with DEXIS intraoral scanners
World renowned for accurate digital impressions, powerful patient communication tools, and smooth scanning workflows, DEXIS intraoral scanners and IS ScanFlow software are setting the global precedent for precision and usability.
25 seconds:Scan a single arch in under 25 seconds*
AI:AI-powered workflows to maximize efficiency
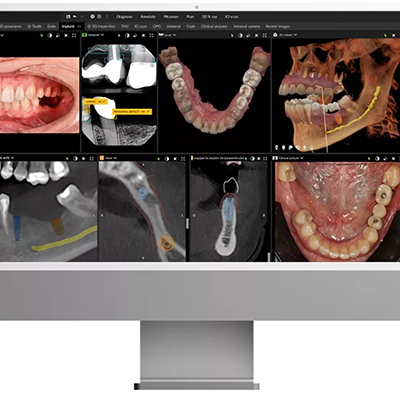
Bring your images home to DTX Studio Clinic
Automatically consolidate all your data (2D, 3D, intraoral scans, and photography) into an AI-powered patient workspace. Create diagnoses, educate patients, plan treatments, and generate surgical guides—all with the help of AI.
500K:Over 500,000 images processed every month by DTX Studio™ Clinic
3 minutes:Plan an implant treatment and generate an automated surgical guide in under 3 minutes*


非常抱歉,您只有购买软件后才能查看完整软件教程!
| 版本号 | 软件大小 | 下载地址 |
|---|
| 版本号 | 软件大小 | 下载地址 |
|---|



