
产品简介
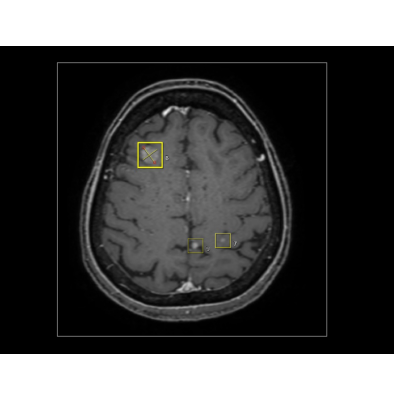
联影智能MR脑转移瘤智能分析系统可辅助检出颅内转移瘤病灶,提供病灶长短径和位置分析结果,自动生成影像所见,辅助医生筛查诊断,提高整体阅片效率,减少漏诊情况,有效辅助癌症疾病进程评估以及治疗方案选择。


诊疗痛点
目前脑转移瘤的主要诊断手段依赖于影像学检查,特别是颅脑核磁共振 (MRI) 的检查,它可以检出头颅CT无法发现的散在的、体积较小的转移瘤病灶。但由于进行1mm薄层MR脑扫描检查脑转移瘤时,多个序列扫描将会产生多达1,000多张脑部MRI图像,再加上脑转移瘤存在多发不定、随机分布、伴随微小转移灶的特点,医生在查阅片子的时候十分容易漏诊,所以亟需一款辅助鉴别脑转移瘤的工具。
临床价值
联影智能MR脑转移瘤智能分析系统可辅助检出颅内转移瘤病灶,自动显示病灶所在层面、大小及位置等多维信息,帮助影像科医生提高检测敏感性、避免漏诊。经过多中心验证及多医生读片对比实验结果显示:联影智能MR脑转移瘤智能分析系统病灶检出敏感度超93%,同时完美平衡假阳性,在AI辅助下医生阅片脑转移灶检出敏感度平均提升20%以上,每例平均节省40%阅片时间。
落地案例
中山大学肿瘤防治中心攻破转移瘤「影像迷宫」
中山大学肿瘤防治中心影像科与联影智能合作研发脑转移瘤辅助检测系统,科室专家表示:“自从安装了脑转移瘤检测AI系统,包括我及科里的医生,所有可疑脑转移患者都要用该系统先初筛,再由医生判断是否为转移灶。”在不到半年时间里,脑转移瘤AI系统就已成为大部分影像科医生离不开的工具。

非常抱歉,您只有购买软件后才能查看完整软件教程!